नमस्कार दोस्तों
आज पूरा विश्व कोरोना के साथ में ब्लैक फंगस को लेकर चिंता में है तो आइए जानते हैं कि घरेलू उपाय से किस प्रकार बच सकते हैं।
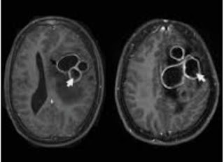
ब्लैक फंगस जो कि एक प्रकार की फफूंद होती है मानव शरीर में आंख नाक और मुंह के द्वारा प्रवेश करती हैं और अंदर बनती है।
दोस्तों जैसा कि आप सभी को पता होगा कि हमारी माताएं बहने घरों में अचार बनाती है और कुछ दिनों बाद अचार में तेल का स्तर नीचे हो जाता है तो ऊपर सफेद फफूंद बन जाती है ।
आइए हम जानते हैं कि किस प्रकार से हमको घरेलू उपाय करके रोक सकते हैं
1. यह फंगस मुंह के द्वारा हमारे शरीर में ना फैले इसके लिए हल्दी और काला नमक मिलाकर उसमें सरसों तेल की 2-3 बूंदें डालकर पेस्ट बना लेवे और हफ्ते में 3 दिन पेस्ट करना चाहिए।
2. यह फंगस नाक और कान के द्वारा हमारे शरीर में ना फैले इसके लिए नाक और कान मे 1-1 ड्रॉप्स सरसों के तेल की डालनी चाहिए।
3. यह फंगस हमारे आंखें द्वारा ना फैले इसके लिए आंखों में गाय का घी मिले तो सर्वोत्तम अन्यथा भैंस के घी की एक-एक बूंद डालनी चाहिए।
दोस्तों यह उपाय कम समय में और मात्र ₹5-10 रूपये में आप कर सकते हैं और अपने आपको अपने परिवार को ब्लैक फंगस जैसे रोगों से बचा सकते हैं।
और अपने शरीर की रोग प्रतिरोधक क्षमता को मजबूत करने के लिए गिलोय का काढा पियें।
सरकार के द्वारा जारी गार्डलाइन का पालन करें क्योंकि यह बुरा वक्त कुछ समय बाद जरूर निकलेगा।
अपने आप को हमेशा सकारात्मक सोच के साथ मुस्कुराहट के साथ रखें।
धन्यवाद
